I A C O N A
O D O N T O I A T R I A
Strumenti digitali per cure precise e comfort totale
Immagini 3D per diagnosi dettagliate
Trattamenti minimamente invasivi guidati
Controlli digitali per monitoraggio costante






L'ODONTOIATRIA DEL FUTURO
Tecnologia all’avanguardia e costante aggiornamento dei materiali costituiscono il cuore pulsante dello studio.
Dotato di ampie sale operative lo studio si avvale di strumenti quali radiologia digitale (CBCT), scanner intraorale, stampa 3D, laser a diodi e scanner facciale che consentono di gestire con estrema precisione ogni fase del piano di trattamento.
La cura del paziente viene effettuata secondo moderni protocolli che garantiscono risultati predicibili e performanti.


Precisione e attenzione impeccabili.
Luca M.
"
La nostra mission
Il Centro Odontoiatrico IACONA nasce nel 2015 dalla passione per l’odontoiatria di eccellenza che il Dr. Giuseppe Iacona, dopo anni di esperienza e formazione in Italia e all’estero, cerca di trasferire nella sua terra natia.
La cura del dettaglio e l’utilizzo di tecnologie all’avanguardia rappresentano i capisaldi dell’attività dello studio che, attraverso la figura del suo fondatore e di un team di specialisti, mira a fare della soddisfazione e della salute del paziente la sua principale mission.
Il continuo aggiornamento e l’utilizzo di protocolli innovativi consentono una cura a 360° del sorriso del paziente con particolare attenzione all’estetica, ai flussi digitali ed alle tecniche di chirurgia rigenerativa.
Diagnosi
Scanner 3D e radiografie digitali per un'analisi dettagliata e veloce.


Trattamenti
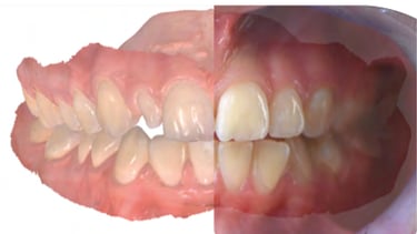
Procedure digitali precise che garantiscono risultati naturali e duraturi.
Sedute confortevoli in un ambiente pulito e tecnologico, pensato per te.
Formazione




Ci occupiamo della salute del tuo sorriso nella sua totalità
Odontoiatria estetica - Conservativa Diretta - Intarsi e Faccette - Odontoiatria digitale - Endodonzia - Parodontologia - Protesi dentale - Implantologia computer-guidata - Chirurgia orale - Pedodonzia - Ortognatodonzia - Ortodonzia invisibile - Laser terapia
Iscriviti ora
Ricevi aggiornamenti sui nostri corsi esclusivi


